Mulher quase morre após engolir prego que estava misturado com carne moída
Caso aconteceu no Peru e foi revelado este semana por autoridades de saúde do país

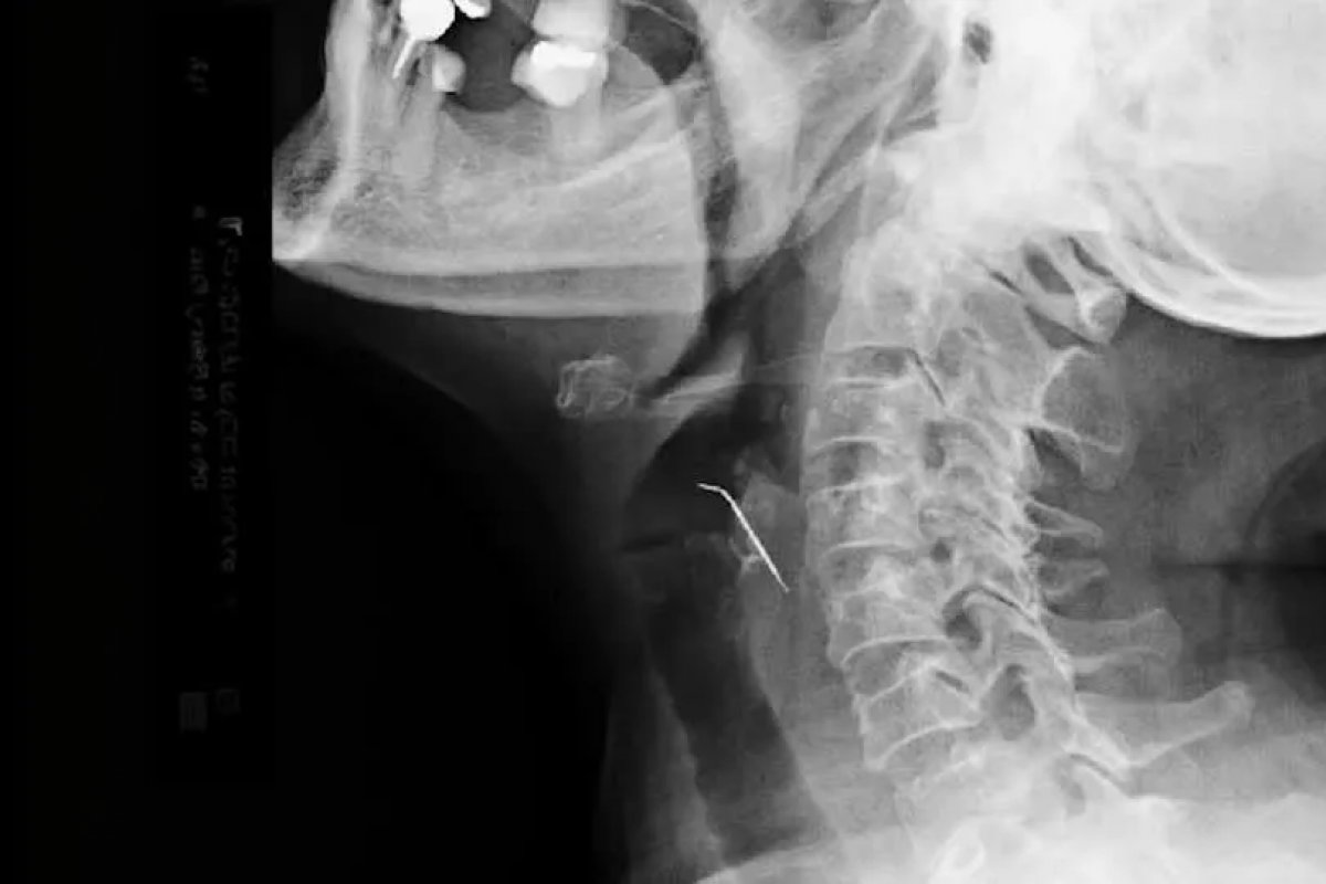
Foto: EsSalud
Uma mulher teve a vida salva por médicos após engolir, acidentalmente, um prego que estava misturado com carne de porco moída. O caso aconteceu no Peru e foi revelado por autoridades de saúde do país na última terça-feira (26).
De acordo com as informações divulgadas, a mulher, identificada como Célia Tello, de 68 anos, foi a até um hospital público após sentir desconfortos gastrointestinais. Após a realização de exames, ficou constatado que a mulher estava com um prego preso em sua artéria carótida.
Ela foi, então, encaminhada para uma cirurgia de emergência, onde os médicos removeram com sucesso o objeto e repararam a artéria afetada. Ela passa bem após a cirurgia e não corre risco de morte.


