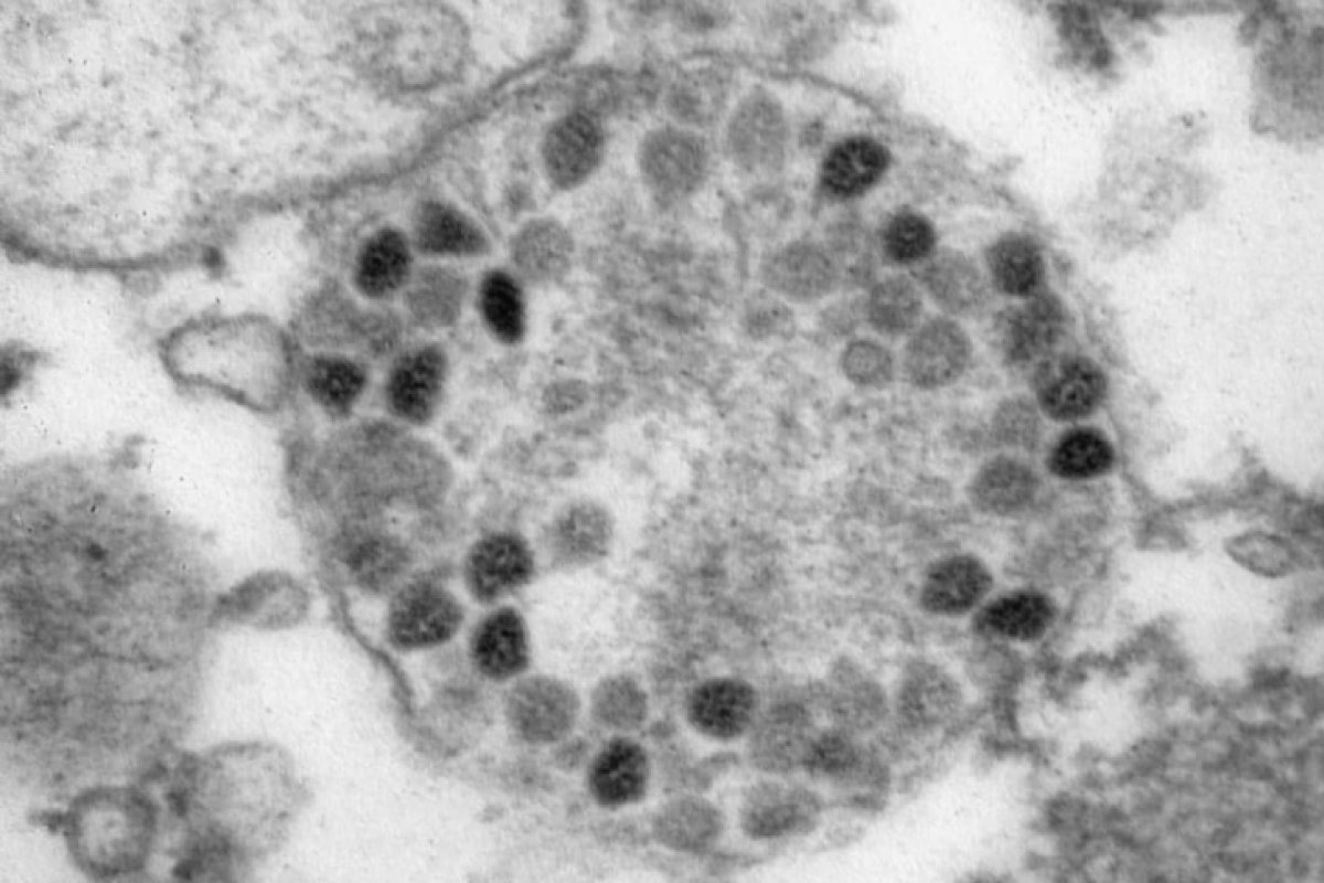
Pela primeira vez, cientistas russos publicam imagens em alta resolução da Ômicron
Imagens microscópicas em alta resolução foram divulgadas nesta terça-feira (21)

Foto: Divulgação/Instituto Gamaleya/
O Instituto de Pesquisa Gamaleya divulgou, nas redes sociais dedicadas à comunicação sobre a Sputnik V, vacina russa contra a Covid-19, a imagem em alta resolução da forma da variante Ômicron do coronavírus.
“Cientistas russos publicaram essas imagens exclusivas de alta resolução da variante do vírus Ômicron, que está se espalhando rapidamente pelo mundo”, diz a postagem publicada nesta terça-feira (21).
A publicação foi feita quatro dias após o anúncio a respeito da eficácia da dose de reforço da Sputnik V contra a Ômicron. “Em estudos em laboratórios russos, a Sputnik V demonstrou uma resposta robusta de anticorpos neutralizantes contra a Ômicron”, afirma o instituto.
O instituto disse que um estudo preliminar mostrou que um reforço do Sputnik Light aplicado seis meses após uma segunda dose do Sputnik deu melhor proteção contra o Ômicron.


